ПАТОМОРФОЛОГИЯ
• В соответствии с рекомендациями Европейского респираторного общества эмфизему лёгких рассматривают как деструктивный процесс эластического остова лёгочной ткани.
• При проксимальной ацинарной эмфиземе бронхиола, представляющая собой проксимальную часть ацинуса, увеличена и целостность её нарушена. Проксимальную ацинарную эмфизему разделяют на центрилобулярную и эмфизему при пневмокониозе шахтёров. Центрилобулярная форма характеризуется изменениями в респираторной бронхиоле проксимальней ацинуса, что создает эффект центрального расположения эмфиземы в дольке лёгкого. Лёгочная ткань дистальнее этого участка обычно интактна. Эта форма эмфиземы преобладает в верхних долях лёгких. При пневмокониозе шахтёров фокальные эмфизематозные участки чередуются с интерстициальным фиброзом лёгких.
• Панацинарная эмфизема (диффузная, генерализованная, альвеолярная, везикулярная) характеризуется единообразным характером изменений с вовлечением в процесс ацинуса. Первично в процесс вовлекаются альвеолярные ходы и мешочки, между которыми позднее исчезают границы. Панацинарную эмфизему чаще наблюдают в нижних долях лёгких, она сопровождает тяжёлое течение заболевания.
• При дистальной ацинарной эмфиземе в патологический процесс преимущественно вовлекаются альвеолярные ходы.
• Иррегулярная (неправильная, неравномерная) эмфизема проявляется многообразием увеличения ацинусов и их деструкцией, сочетается с выраженным рубцовым процессом в лёгочной ткани. Эта форма эмфиземы сопровождает туберкулёз лёгких, саркоидоз, пневмокониозы, гистоплазмоз и эозинофильную гранулёму.
Формы болезни
Эмфизема легких проявляется в виде двух основных форм, различают по характеру поражения легочной ткани:
- везикулярной (собственно эмфизема), характеризующееся изменениями межальвеолярных перегородок и расширением альвеол
- интерстициальной — скопление пузырьков воздуха в межуточной ткани легкого
Эмфизема легких может быть первичной, в этом случае рассматривается как самостоятельная нозологическая форма, или значительно чаще вторичной — сопровождает или осложняет другие заболевания легких (вторичную эмфизему, связанную с обструкцией дыхательных путей, иногда называют обструктивной эмфиземой).
Различают диффузную (генерализованную), охватывающая всю легочную ткань, и локальную легочную эмфизему.
Как образуется эмфизема?
Острая эмфизема может возникнуть в момент сильного напряжения альвеол. Происходит это при быстром беге. Альвеолы в это время переполнены воздухом и сильно сжимаются на выдохе. В результате ткани стенок альвеол расширяются, увеличивая, объем всего легкого. Такая структура сохраняется, ткани не возвращаются в прежнее состояние, а воздух остается в легком.

Данной проблемой страдают в основном ездовые и охотничьи собаки, так как они часто и много бегают. Чтобы у животного не возникало подобных патологий, нужно вовремя давать ему передохнуть и отдышаться. Чаще, чем у собак, эмфизема легких встречается только у скаковых лошадей.
Лечение
Помощь на догоспитальном этапе
Пострадавшим с открытыми травмами грудной клетки следует наложить плотную повязку на область раны для трансформации открытого пневмоторакса в закрытый. Переломы ребер нужно фиксировать широкой повязкой из полотенца или простыни, накладываемой на грудную клетку во время выдоха. Для облегчения дыхания пациентов транспортируют в полусидячем положении.
Больным с повреждениями лица осуществляют остановку кровотечения. К пораженной зоне прикладывают холод. Если человек находится в сознании, его перевозят, немного наклонив голову вперед, чтобы избежать попадания крови в дыхательные пути. При нарушениях сознания транспортировку рекомендуется проводить в положении лежа на боку. Вправлять отломки категорически запрещается.
Консервативная терапия
Воздух из жировой клетчатки рассасывается самостоятельно, поэтому непосредственно подкожная эмфизема не нуждается в лечении. Терапевтические мероприятия направлены на устранение причины патологии и облегчение состояния больного. Пациентам с травмами ОГК при поступлении проводят обезболивание переломов или вагосимпатическую блокаду. По показаниям осуществляют плевральную пункцию для удаления воздуха или жидкости. Назначают следующие лекарственные препараты:
- Обезболивающие. Анальгин, кеторол и аналоги применяют перорально или парентерально при выраженном болевом синдроме. При интенсивных болях возможно внутримышечное введение наркотических анальгетиков.
- Глюкокортикостероиды. Дексаметазон или преднизолон в таблетках используют для предупреждения развития или уменьшения выраженности воспалительного процесса. Больным с баротравмой медикаменты рекомендованы для устранения ларингоспазма.
- Антибиотики. Препараты необходимы при всех открытых повреждениях, а также при развитии воспалительных и гнойных осложнений. Больным с травмами в первые дни лекарства могут назначаться в профилактических целях.
- Противокашлевые, отхаркивающие. Показаны для уменьшения болей, вызываемых кашлем, облегчения отхождения мокроты, обеспечения полноценного дренирования бронхиального дерева.
Обязательной частью терапии травм и заболеваний ОГК является лечебная физкультура, позволяющая быстро восстановить нормальную работу бронхов и альвеол. Упражнения выполняют с первых дней после поступления. Программу составляют с учетом состояния пациента и выраженности болевого синдрома. Дыхательную гимнастику дополняют массажем грудной клетки.
Хирургическое лечение
С учетом причин развития патологии осуществляются следующие операции:
- Травмы ОГК: ушивание ран, дренирование плевральной полости, торакотомия для ликвидации источника кровотечения при массивном гемотораксе.
- Травмы лица: обработка ран, репозиция костей носа, ринопластика, септопластика, репозиция скуловой кости или скулоглазничного комплекса.
- Перфорации полых органов: трахеотомия, ушивание трахеи, ушивание пищевода с наложением временной гастростомы.
- Бронхиальные свищи: закрытие свища, реампутация культи бронха.
- Баротравма: медиастинотомия при значительном скоплении воздуха в средостении.
Лечение
Животное отстраняют от физических нагрузок, предоставляют полный покой не лишая возможности свободного моциона.
Извлекают из рациона пыльные корма. Концентрированные зерновые смеси подают в виде каш. Корма должны быть не объёмными и легко усвояемыми.
Подкожно вводится 0,1% раствор атропина, 5% раствор эфедрина (10-15 мл для лошади) на протяжении 5-6 дней. Мелким животным показан эуфиллин 0,1-0,2 г на голову.
При аллергических реакциях хлористый кальций, аминазин, супрастин. Применяют общетонизирующие и сердечно-сосудистые препараты (кофеин, строфантин, кордиамин), отхаркивающие.
При хронических процессах физические нагрузки противопоказаны. Если животное не представляет ценности — выбраковывают.
Подкожная разновидность эмфиземы
Но эмфиземой называют не только заболевание легких. Существует еще и подкожная эмфизема: у кошек (как и прочих животных) встречается эта патология редко, но проблем от нее бывает много.
Из названия болезни понятно, что при этом какие-то объемы воздуха оказываются под кожей. Разумеется, причины этого исключительно патологические: тяжелые травмы, колотые раны. Конечно, само по себе это заболевание смертельным не является, но вместе с воздухом в подкожную клетчатку попадает много патогенной и условно патогенной микрофлоры. Впрочем, лечение при этом достаточно простое: попавшие газы удаляются при помощи иглы или надрезов на коже, животному могут назначаться антибиотики во избежание развития вторичных инфекций. Раны лечат общим порядком.
http://candycat.ru/bolezni-koshek/emfizema-legkih.htmlhttp://vetvo.ru/emfizema-legkix.htmlhttp://vashipitomcy.ru/publ/zdorove/bolezni/ehmfizema_tjazhjolaja_patologija_ljogkikh_u_koshek/15-1-0-1168
Диагностика
Диагностические мероприятия осуществляет врач-пульмонолог. При травматическом генезе симптома требуется участие травматолога, при поражениях лица необходима консультация челюстно-лицевого хирурга. Во время сбора анамнеза специалист выясняет, что происходило в период, предшествующий формированию эмфиземы, выявляет другие жалобы, оценивает динамику развития заболевания. Проводят следующие процедуры:
- Внешний осмотр. О наличии подкожного скопления воздуха свидетельствует неравномерное увеличение объема мягких тканей, иногда создающее впечатление «раздутости». Ощупывание безболезненно, пальпаторно определяется нежный хруст. Возможны отставание половины грудной клетки в акте дыхания, расширение подкожных вен, вынужденное положение больного.
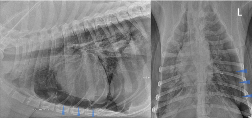
- Рентгенография. При патологиях ОГК обязательно делают обзорный снимок, опционально – прицельный. Возможно обнаружение переломов ребер, гемо- и пневмоторакса, пневмомедиастинума. При травмах лица выполняют рентгенограммы орбиты, костей носа, скуловой кости. Иногда требуется рентгенография черепа для исключения переломов его мозговой части.
- Компьютерная томография. КТ ОГК производится для уточнения характера повреждений, выявления ателектазов, пневмо- и гемоторакса, других патологий, выполняется нативно или с контрастом. Пациентам также могут быть показаны КТ легких или КТ средостения. Для детализации изменений, обнаруженных на рентгенограммах костей лица, могут быть назначены КТ орбиты и другие исследования.
- Магнитно-резонансная томография. МРТ легких информативна при разграничении воспалительных и невоспалительных поражений, изучении легочной ткани, сосудистых структур, лимфатической системы и скоплений жидкости. Выполняется на заключительном этапе обследования в рамках дифференциальной диагностики, планирования торакальных вмешательств.
- Эндоскопические методы. Подозрение на перфорацию пищевода является показанием к эзофагоскопии. Трахеобронхоскопию осуществляют при перфорации трахеи, бронхиальных свищах, других патологиях. В некоторых случаях для уточнения диагноза и проведения лечебных мероприятий необходима торакоскопия.
- Другие методики. Сцинтиграфия рекомендована для оценки капиллярного кровотока и легочной вентиляции, применяется при ателектазах, пневмонии, обструктивных патологиях. Плевральная пункция позволяет установить характер и количество экссудата при плевритах, гемотораксе и гидротораксе.
Симптомы при скоплении воздуха в плевральной полости у животных
Лечение эмфиземы у собак
Самым первым шагом является предоставление больному питомцу полного покоя. Физические нагрузки должны быть полностью прекращены или сведены до минимума. Больную особь отстраняют от охоты, забегов и несения патрульной службы. Животное размещают в чистом и сухом проветриваемом помещении, без сквозняков. Владельцу больной собаки необходимо пересмотреть рацион. Его основу должны составлять легкоперевариваемые корма, богатые клетчаткой, витаминами и минералами.

Если животное страдает тяжелой формой одышки, то для предотвращения отека легких ветеринарный специалист назначает инъекции Атропина, Эфедрина или Эуфиллина. Освободить альвеолы от скопившегося экссудата помогут отхаркивающие средства. Неплохой лечебный эффект позволяют достичь при эмфиземе легких ингаляции с лекарственными травами.
Для поддержания сердечной деятельности собаке назначают Кофеин, Кордиамин. При аллергической этиологии заболевания больной особи могут быть назначены Аминазин, Супрастин, хлористый кальций.
Рекомендуем прочитать о причинах развития астмы у собак. Из статьи вы узнаете о признаках и симптомах заболевания, диагностике патологии, оказании неотложной помощи при приступе бронхиальной астмы.
А здесь подробнее об особенностях течения ларингита у собак.
Эмфизема у собак случается нечасто. Недугу подвержены охотничьи, ездовые породы и собаки, участвующие в бегах. Специалисты различают альвеолярную и интерстициальную формы заболевания. Основными симптомами патологии являются одышка и снижение работоспособности особи. Диагноз устанавливают на основании клинических признаков и рентгенологического обследования. Лечение носит симптоматический характер.
Симптомы и диагностика
Симптоматика становится всё более выраженным по мере прогрессирования болезни. Со временем прогрессирует одышка. Чаще всего она проявляется в возрасте больного от 50 лет. Усиливается она, когда присоединяются респираторные инфекции. Мокрота при кашле слизистая, в небольшом количестве, потому что при эмфиземе не происходит бактериальный воспалительный процесс.
Обычно больной теряет вес, потому что у него активизируется напряженная работа дыхательных мышц. В анамнезе отмечается в большинстве случаев табакокурение, хронические или возобновляющиеся болезни органов дыхания, профессиональные вредности. У нескольких поколений прямых родственников могут отмечаться разные болезни дыхательных органов, что у медиков называется семейной слабостью легких. При буллезной эмфиземе фиксируют рецидивирующие спонтанные пневмотораксы.
Физическое обследование
При осмотре медики отмечают, что грудная клетка имеет цилиндрическую форму. Ее подвижность при дыхательных движениях ограничены. Вспомогательная мускулатура активно задействована при дыхании. Перкуторный звук над всей поверхностью грудной клетки имеет коробочный оттенок. Нижние границы легких смещены книзу на 1-2 ребра, их подвижность ограничена.
Аускультация выявляет ослабление дыхания, хрипы появляются при сопутствующем хроническом бронхите во время кашлевой пробы, аускультации в положении человека лежа, форсированного выдоха. Тоны сердца лучше выслушиваются в надчревной области.
Инструментальные исследования
Рентгенологическое исследование обнаруживает, что подвижность диафрагмы ограничена. Фиксируют повышенную воздушность легочных полей. Купол диафрагмы расположен низко и уплощен. В легочных полях мало сосудистых теней. Усиление легочного рисунка можно обнаружить при буллезной эмфиземе. С помощью рентгенографии можно обнаруживать характерное осложнение буллезной формы эмфиземы — спонтанный пневмоторакс.
С помощью компьютерной томографии подтверждают обеднение сосудистого рисунка легочных полей, повышенную воздушность легких. Также метод актуален для определение наличия, места нахождения и размеров булл. В начале болезни можно обнаружить, что размер легких выше нормы. При тяжелом течении болезни уменьшается поверхность легких. Исследование дает врачам возможность неинвазивно определять массу и объем легких.
Исследование ФВД — высокоинформативный диагностический метод при подозрении на эмфизему легких. По кривой «поток-объем» на ранних стадиях выявляют обструкцию дистального отрезка дыхательного дерева. При эмфиземе не может быть обратимой обструкции.
Лабораторные исследования
Общий анализ крови при эмфиземе легких не покажет воспалительных изменений. Они могут быть, только при наличии у человека вместе с эмфиземой и другого заболевания. Для выраженной эмфиземе типична прогрессирующая гипоксемия, которая приводит к полицитемическому синдрому: в крови возрастает содержание эритроцитов и гемоглобина, увеличивается вязкость крови.
Осложнения
Осложнениями являются развитие и прогрессирование необратимой дыхательной, легочной и сердечной недостаточности. Эмфизема легких может вызвать такое неотложное состояние как спонтанный пневмоторакс, особенно клапанный, при котором нарастает давление внутри груди.
Дифференциальная диагностика
Вторичная эмфизема нуждается в дифференциальной диагностике с первичной и с формами заболевания, которые обусловлены расширением воздушных пространств легких без вовлечения сосудистого русла. Вторичная форма может быть, например, при хроническом обструктивном бронхите или бронхиальной астме.
Первичная эмфизема обнаруживается у пациентов молодого и среднего возраста, часто ее могут найти у 2 и более родственников. Подтверждают диагноз, находя в сыворотке крови низкую концентрацию альфа-антитрипсина. При вторичной эмфиземе могут проявляться симптомы другой болезни, которая затронула нижние дыхательные пути.
Инволютивная форма эмфиземы обусловлена расширением воздушных пространств легких (как и гипертрофическая и инволютивная). При ней не отмечается гипоксия, бронхообструктивный синдром, гиперкапния. При гипертрофической форме, которая известна также как компенсаторная или викарная, объем оставшегося легкого увеличивается, что говорит о процессе компенсации. Острое вздутие легких — обратимая реакции компенсации при аспирации инородного тела с неполной обструкцией бронхов, тяжелом приступе бронхиальной астмы, утоплении, иногда при резких физических перегрузках.
Причины поражения
По мнению профессионалов в области ветеринарии и опытных собаководов, к тяжелому поражению легких у собак приводят следующие причины:
- Чрезмерные физические нагрузки. Особенно часто недуг регистрируется у служебных, ездовых, охотничьих собак и особей, участвующих в собачьих бегах. Альвеолярная эмфизема возникает вследствие растяжения структур органа во время интенсивного и продолжительного бега.
- Причиной развития недуга может являться механическое повреждение грудной клетки. Нередко эмфизема у собак развивается вследствие наскока на дерево, забор, твердые предметы. Возможно поражение легких и при наезде автотранспортного средства на фоне развития пневмоторакса. Если в этиологии заболевания ведущая роль принадлежит травматическому фактору, то ветеринарный специалист чаще диагностирует интерстициальную форму патологии.
Пневматорокс
- В ряде случаев эмфизема возникает на фоне заболеваний дыхательной системы. Если питомец страдал пневмонией или бронхопневмонией, воспалением бронхов, плевритом, то риск развития альвеолярной эмфиземы значительно возрастает.
- Причиной патологического расширения легких нередко является аллергическая реакция. В результате развития ответной реакции организма на тот или иной раздражитель в тканях формируется отек. Такой процесс в легких может привести к их расширению.
Провоцирующим болезнь фактором в ветеринарной практике считают низкий уровень иммунитета и несбалансированный рацион питания. Увеличивают риск развития эмфиземы частые простудные заболевания.
Прогноз при отеке легких у собаки
Развитие отека легких может усугубить состояние сердца: в частности острую сердечную недостаточность. В результате недостаточного поступления кислорода к тканям могут пострадать такие внутренние органы, как сердце, головной мозг, надпочечники, печень, почки и другие.
Также могут поражаться и сами легкие, в таком случае развиваются:
- спадение легкого (ателектаз);
- прорастание соединительной тканью (склероз);
- эмфизема;
- пневмония;
- сепсис.
Непосредственно при неоказании своевременной срочной помощи собаке, у которой наблюдаются признаки отека легких, могут развиваться такие состояния как:

- молниеносная форма отека легких;
- нестабильность кровообращения;
- кардиогенный шок;
- нарушение сокращения разных отделов сердца
- закупорка дыхательных путей.
При токсическом отеке легких достаточно хорошие прогнозы для излечения, однако и достаточно высокая смертность в результате быстрого развития. Будьте внимательны к своим питомцам и помните: оказание помощи в случае с развивающимся отеком легких должно быть оказано незамедлительно и в условиях клиники – как в человеческой медицине, так и в ветеринарной.
Сердечная недостаточность у собак Сердечная недостаточность – это синдром, характеризующий нарушение функции сердца как следствие развивающегося заболевания сердца. В большинстве случаев данный синдром напрямую связан с застойной сердечной недостаточностью, но иногда может протекать без признаков застойных явлений. Гипертрофическая кардиомиопатия кошек Гипертрофическая кардиомиопатия (ГКМП, НСМ) является одним из самых распространенных сердечных заболеваний, встречаемых у кошек. Первичная ГКМП – врожденная болезнь, при которой мышечная стенка патологически увеличивается в объеме. Тромбоэмболия у кошек Тромбоэмболия – это сопутствующее осложнение многих заболеваний, причиной которого является свёртывание крови в кровеносных сосудах и их полная или частичная закупорка тромбом. Тромб может перекрыть кровоток как крупных сосудов (аорта и лёгочная артерия), так и менее крупных (почечных, брыжеечных, плечевых, сосудов головного мозга), вследствие чего возникают ишемии тканей, вызывая серьёзные нарушения.

- gavmyau.ru
- vashipitomcy.ru
- mybarbos.com
- oncovet.ru
Острая и хроническая форма
Сердечная недостаточность может протекать у домашних животных в острой и хронической формах. При остром недуге происходит резкое уменьшение объема прокачиваемой крови. Причиной такой ситуации чаще всего является порок сердца, миокардит, гипертоническая болезнь.
При острой недостаточности у животного наблюдается кашель и одышка не только при повышении физической нагрузки, но и в состоянии покоя. Угрожающим симптомом является розовая пена изо рта, свидетельствующая об отеке легких.

К факторам, приводящим к хронической недостаточности сердечной деятельности, в ветеринарной медицине относят кардиомиопатию, гормональные заболевания, чрезмерные физические нагрузки. Недуг характеризуется медленным нарастанием клинических признаков. Такие симптомы, как сухой кашель, одышка, проявляются при физической активности собаки. Для хронической формы заболевания характерно сильное истощение питомца.
Симптоматика
Симптомы эмфиземы отличаются от других заболеваний дыхательных путей, однако поначалу могут напоминать о трахеите или бронхите:
-
хриплое, пыхтящее дыхание или дыхание со свистом;
-
кашель (скорее влажный, нежели сухой);
-
одышка;
-
сильный дискомфорт в груди;
-
расширение грудной клетки, сочетающееся с опущенной диафрагмой и медленным ее движением при дыхании;
-
возникают припухлости над ключицами;
-
появляется пространство между костями ребер;
-
боли в сердце, образующиеся из-за давления легких на грудную клетку.
В запущенной форме эмфиземы при приступах нарушения дыхания больной приобретает болезненный вид — кровь приливает к коже, поэтому лицо и конечности розовеют. Также у больных в более поздней стадии эмфиземы замечено нарушение цвета кожи и состояния ногтей (кожа синеет, а ногти плотнеют и округляются).
Полностью образование эмфиземы и ее размеры возможно определить только при помощи рентгенографии — только этот диагностический метод поможет понять, как сильно расширились альвеолы — дыхательные ячейки, из которых состоят легкие.
Симптомы
Определить, что собака страдает эмфиземой, довольно просто
Во-первых, следует обратить внимание на ее дыхание. Как правило, больные питомцы испытывают отдышку, их дыхание даже в спокойном состоянии является затруднённым
Если присмотреться внимательно, можно заметить, что длительность выдоха увеличилась. Во-вторых, во время дыхания резко сокращаются мышцы пресса и реберные стенки. Животное испытывает сильное утомление даже при небольших нагрузках.

Также при эмфиземе у собаки может встречаться глухой и прерывистый кашель. Недуг оказывает влияние на сердечную деятельность, а потому у животного можно отметить учащенное сердцебиение и тахикардию.
Эмфизема – весьма опасное заболевание. К примеру, интерстициальная патология становится причиной быстрого ухудшения общего состояния животного. При этом собаке становиться, очень тяжело дышать, очень быстро нарастают признаки асфиксии. При отсутствии ухода и лечения, животное может просто задохнуться.
Лечение отека легких у собак
В условиях клиники собаку срочно помещают в кислородный бокс, либо подносят кислородную маску. В них поступает либо концентрируемый из воздуха кислород, либо кислород из баллонов, находящийся в сжиженном состоянии. Порой требуется интубация трахеи, то есть введение в нее специальной трубки, через которую возможно осуществление пассивной вентиляции легких.
Также внутривенно в срочном порядке вводятся препараты для поддержания сердечной и дыхательной деятельности. При достаточно большом объеме скопившейся жидкости в легких производят ее отведение.

| Отек легких у собаки. Немецкий шпиц Оскар 6,5 лет, при поступлении. | Отёк легких у собаки. Немецкий шпиц Оскар 6,5 лет, после суток на ИПС фуросемидом. |
Этиология
Причиной патологии часто являются перенапряжения при физической нагрузке. Усиленное и частое дыхание приводит к заполнению до предела легочных альвеол, но низкая эластичность не позволяет вытолкнуть весь объём воздуха в просвет мелких бронхиол. Такой процесс наблюдается при длительном беге у собак и лошадей.
Частые воспалительные процессы в органах дыхания (бронхиты, бронхопневмонии) также приводят к ослабеванию альвеолярных стенок и проявлению эмфиземы. Кашлевые движения способствуют надрыву альвеол, и воздух выходит в межальвеолярное пространство.
Постоянный приём пыльного корма (сухие, пылящиеся кормовые смеси, пыльное сено, постоянные нагрузки в пыльных условиях) приводят к попаданию мелких частиц в лёгочную ткань и оседанию на стенках альвеол, что также приводит к эмфиземе.
Врождённая эмфизема имеет место, но очень редко.
Очаговая эмфизема развивается вокруг старых туберкул. Стенки альвеол сглаживаются, и рентгенографические исследования могут принять картину как крупные туберкулы.
Иногда развивается старческая эмфизема. Её регистрируют у очень старых животных.
Хронический процесс проявляется при стенозах бронхов, гортани, трахеи, плевритах.
Регистрируются и аллергические факторы вызывающие эмфизему (микроскопические грибы, пыльца определённых растений).
Как предрасполагающие факторы отмечается переутомление, болезни выделительной системы и сердечно-сосудистой, недостаточность в рационе определённых микроэлементов (йода, кобальта, марганца), отсутствие моциона, а также избыток в организме тяжёлых металлов (окиси кремния, никеля).
Диагностика отека легких у собак
Проведение диагностики для подтверждения наличия отека легких возможно при помощи:

- рентгенографии;
- ультразвуковой диагностики;
- аускультации;
- пробного прокола (торакоцентез, плевральная пункция);
- тонометрии (измерения артериального давления крови);
- исследования газового состава крови, аускультации.
Отек легких у собаки (рентгенограмма)У крупных собак возможно выявление изменения перкуторного звука при простукивании (перкуссии) грудной клетки перкуторным молоточком по плессиметру, однако данный метод инструментальной диагностики применяется достаточно редко, а у маленьких собак он малоинформативен.
Коагулограмма, отражающая свертывающую способность крови, способна указать на отек легких, развившийся в результате тромбоза легочной артерии. Собаку обязательно прослушивают при помощи стето- или фонендоскопа. В случае развития отека легких отмечается патологическое жесткое дыхание, хрипы.
Симптомы эмфиземы у собак
(Фото: Getty Images)
У некоторых собак, у которых эмфизема может сначала не проявляться никаких симптомов, и когда они происходят, они могут внезапно появиться или исчезнуть. Тип симптомов, которые вы видите на своей собаке, может варьироваться в зависимости от того, какие органы или ткани затронуты давлением от наращивания воздуха в дыхательных путях. Вот некоторые общие симптомы, которые вы можете видеть у собак с эмфиземой.
- Трудность дыхания или увеличение частоты дыхания
- Кашляющий
- Нетерпимость осуществлять
- Учащение пульса
- Потеря аппетита и потеря веса
- вялость
- Слабое место
Причины эмфиземы у собак
(Фото: Getty Images)
Существует много возможных причин эмфиземы у собак. У людей основной причиной эмфиземы является воздействие воздушных раздражителей, таких как сигаретный дым и загрязнение воздуха. У собак, однако, эмфизема обычно возникает из-за другого состояния легкого, что часто приводит к поражениям, которые позволяют воздуху проникать в альвеолы, но препятствуют его высвобождению. Вот несколько возможных причин эмфиземы у собак.
- Воспалительные заболевания легких, такие как хронический бронхит или хроническая обструктивная болезнь легких (ХОБЛ)
- рак
- Паразиты легких
- Внутренняя или кожная рана, которая позволяет воздуху перемещаться в ткани из-за движения мышц
- Травма дыхательного тракта, вызывающая язвы или рваные раны
- Врожденная бронхиальная гипоплазия, состояние при рождении, когда дыхательные пути не развиты, особенно у пекинских собак
Общие сведения
Легкие – один из важнейших внутренних органов любого живого организма. Именно в них происходит газообмен: в кровь поступает кислород, а углекислый газ выводится наружу. Легкие состоят из альвеол, которые находятся в основаниях бронхиол. Вокруг альвеол проходит огромное количество мелких кровеносных сосудов. Через тонкие стенки кровеносных сосудов и альвеол происходит газообмен.
При отеке легких кровеносные суды наполняются кровью так сильно, что ее плазма наполняет альвеолы. Происходит нарушение газообмена, и легкие уже не могут эффективно выполнять свою главную задачу. Из-за недостатка кислорода в организме происходит гипоксия. Без медицинской помощи состояние животного быстро ухудшается, и очень скоро может наступить смерть. Обычно при отеке легких у собаки прогноз на выздоровление зависит в первую очередь от того, как быстро животное получит помощь.
Жидкость в легких может накапливаться медленно – это хроническая форма. В таком случае можно замечать трудности животного с дыханием на протяжении долгого времени, и ситуация обычно только усугубляется. При острой форме жидкость заполоняет легкие в считанные часы. При любой из этих форм животному необходима срочная медицинская помощь.
Что это такое?
Так называется патология, при которой объем легких заметно увеличивается за счет расширения альвеол (альвеолярная) или интерстициальной ткани (интерстициальная). Чем это грозит? Кот не может нормально вдыхать и выдыхать, испытывает проблемы с поступлением достаточного количества кислорода в кровь. Развивается хроническая гипоксия, чреватая появлением целого букета функциональных нарушений в организме, так как от недостатка воздуха будет страдать не только мозг, но также печень и почки.

Предполагают, что природа заболевания является воспалительной. Оно необратимо, имеет тенденцию к постоянному развитию. Очень часто эмфизему принимают за хронический бронхит, так как внешние проявления этих заболеваний весьма схожи.
Как образуется эмфизема?
Острая эмфизема может возникнуть в момент сильного напряжения альвеол
. Происходит это при быстром беге. Альвеолы в это время переполнены воздухом и сильно сжимаются на выдохе. В результате ткани стенок альвеол расширяются, увеличивая, объем всего легкого. Такая структура сохраняется, ткани не возвращаются в прежнее состояние, а воздух остается в легком.

Данной проблемой страдают в основном ездовые и охотничьи собаки, так как они часто и много бегают. Чтобы у животного не возникало подобных патологий, нужно вовремя давать ему передохнуть и отдышаться. Чаще, чем у собак, эмфизема легких встречается только у скаковых лошадей.
Характерные симптомы
Заподозрить проблему газообмена у хвостатого любимца владельцы могут по таким признакам, как:
- кашель;
- повышенная температура тела;
- одышка;
- ухудшение аппетита;
- хрипы в грудной клетке;
- сильная жажда;
- затрудненность дыхания;
- тахикардия;
- водянистые выделения из ноздрей;
- синюшность кожи, видимых слизистых оболочек.
Внимание: если наблюдается два и более из перечисленных симптомов, животное надо как можно быстрее доставить в клинику. Иногда счет идет на минуты
Питомец может агрессивно реагировать на прикосновения к области грудины из-за болезненных ощущений, принимает неестественные позы, пытаясь облегчить дыхание.
Подкожная разновидность эмфиземы
Но эмфиземой называют не только заболевание легких. Существует еще и подкожная эмфизема: у кошек (как и прочих животных) встречается эта патология редко, но проблем от нее бывает много.
Из названия болезни понятно, что при этом какие-то объемы воздуха оказываются под кожей. Разумеется, причины этого исключительно патологические: тяжелые травмы, колотые раны. Конечно, само по себе это заболевание смертельным не является, но вместе с воздухом в подкожную клетчатку попадает много патогенной и условно патогенной микрофлоры. Впрочем, лечение при этом достаточно простое: попавшие газы удаляются при помощи иглы или надрезов на коже, животному могут назначаться антибиотики во избежание развития вторичных инфекций. Раны лечат общим порядком.

![Болезни легких [1958 - - болезни собак (незаразные)]](http://sortsemovosh12.ru/wp-content/uploads/9/4/0/940f0faa07852cc27f91115625a82e36.jpeg)


























