Как диагностировать данное заболевание?
Диагноз ставится врачом при осмотре – на основании клинической картины и рентгеновских снимков. Исключаются другие патологии с похожими симптомами – медиальный или латеральный вывих коленной чашечки, дисплазия ТБС. Все эти патологии могут накладываться друг на друга. Например, запущенный медиальный вывих надколенника у мелких пород с возрастом может приводить к повреждению ПКС, но в любом случае необходимо их дифференцировать, чтобы правильно провести лечение.
Физикальные обследования включают:
- Компрессионный тест Хендерсона;
- Тест «переднего выдвижного ящика» (проба Ортолани) – визуально наблюдаемое смещение большеберцовой кости краниально относительно бедренной.
Инструментальные методы включают:
- Рентгенологическое исследование;
- УЗИ коленного сустава;
- Артроскопия;
- Магнитно-резонансная томография (МРТ).

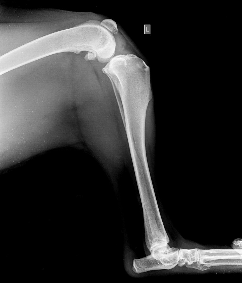
Разрыв ПКС у азиатской овчарки (хронический процесс), боковая проекция

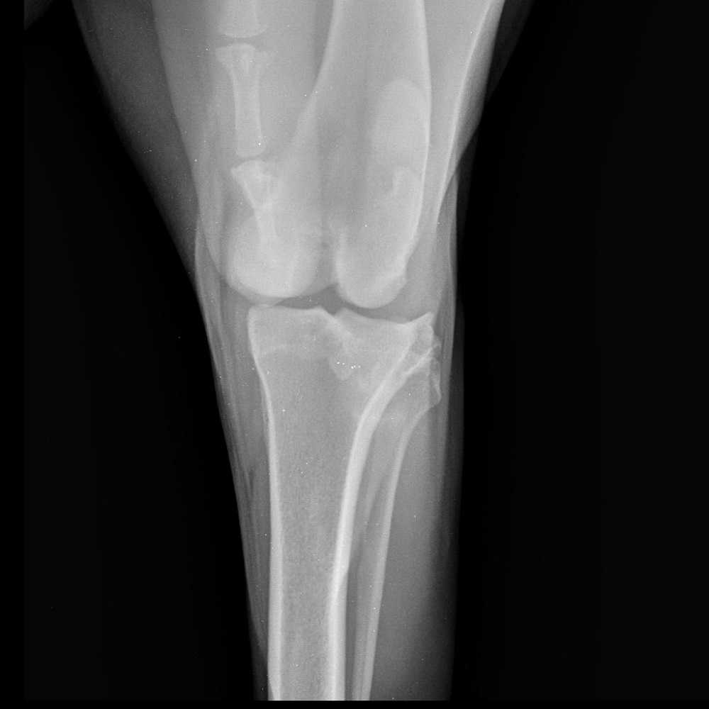
Прямая проекция коленного сустава у алабая при хроническом течении разрыва ПКС

Боковая рентгенограмма при хроническом течении разрыва ПКС у алабая
Генетические аномалии опорно-двигательной системы собак
При скрещивании пород, их видоизменении кинологами выводились новые породы собак, используемые в конкретной ситуации.
Итак, к наследственным патологиям опорно-двигательной системы относятся:
- дисплазия тазобедренного сустава;
- болезнь Лагга-Кальва-Пертеса;
- остеохондроз;
- смещение межпозвоночных дисков;
- деформирование шейных позвонков;
- дисплазия локтевого сустава;
- смещение головки лучевой кости.
Частым отклонением является дисплазия тазобедренного сустава или несоответствие чашечки тазобедренного сустава его головке и неправильным вхождением шейки бедренной кости.

Впервые нарушение тазобедренного сустава исследовано у немецких овчарок с описанием диагностики в 1935 году. По имеющейся картине заболевания выявлена дисплазия практически у всех собак крупных пород. Это доги, бульдоги, чау-чау, боксёры, ротвейлеры, лабрадоры, сенбернары, ньюфаундленды. Не предрасположены к этому заболеванию борзые и в меньшей степени собаки мелких пород.
Симптомами патологии служат: быстрая усталость, нарушения походки, трудности движения по лестнице
Если не обратить внимание на первые признаки болезни и пренебречь обращением в ветеринарную клинику, то в дальнейшем у питомца может развиться хромота вплоть до полной потери подвижности
Болезнь Лагга-Кальва-Пертеса встречается у собак мелких пород: пекинесы, французские бульдоги, шнауцеры, карликовые пудели, шпицы. Патология заключается в нарушении кровоснабжения головки бедра и приводит к некрозу бедренной кости.
Первые симптомы едва заметны: несильные боли в суставе, небольшое прихрамывание, подволакивание лапы. Любое отклонение в поведении животного должно быть причиной для неотложного обращения в ветеринарную клинику.
Остеохондроз у собак связан с повреждением хрящей межпозвоночных дисков. Степень наследования достаточно высока и превышает 50 процентов. В зоне риска породы крупных быстрорастущих собак: ротвейлеры, ньюфаундленды, сенбернары, бернские зенненхунды, лабрадоры.
Смещение межпозвоночных дисков встречается как у пород, имеющих склонность к данной болезни (такса, пекинес), так и у пожилых собак крупных пород (лабрадор, немецкая овчарка). Животное может испытывать боль или шаткость походки, задние лапы не слушаются или парализованы.
Для диагностики заболевания необходимо провести обследование в ветеринарной клинике. Как правило, это рентгеновское исследование, иногда бывает показана магнитно-резонансная или компьютерная томография, определяющая повреждения спинного мозга и межпозвоночного диска.
Деформация шейных позвонков характерна для пород с неширокой позвоночной линией: чау-чау, доберманы, мелкие породы. Характерная боль при заболевании — боль в области шеи, при которой собака держит голову в неестественном положении с наклоном вниз.

Также у животных может быть нарушена координация движений. Помощью в данных обстоятельствах послужит неврологическое обследование в ветеринарной клинике с применением современных методов диагностики: компьютерной или магнитно-резонансной томографии, миелографии.
Дисплазия локтевого сустава выражается в физическом недостатке формирования сустава локтя и окружающих его тканей. В зоне риска находятся следующие породы: немецкие овчарки, ротвейлеры, бладхаунды, мастино-неаполитано, золотистые ретриверы, сенбернары, бернские зенненхунды.
Симптоматикой является хромота, боль при сгибании лапы. При своевременном обращении к ветеринарному врачу заболевание излечимо, однако часто требуется оперативное вмешательство.
Врождённое смещение головки лучевой кости (вывих локтя) протекает из-за генетического дефекта и характерно для собак мелких пород: йоркширский терьер, пекинес. Признак аномалии — хромота или неестественная походка питомца с поджиманием лапы.
Точная диагностика с рентгенологическим обследованием питомца в ветеринарной клинике определит диагноз и поможет животному преодолеть недуг. В противном случае при запущенности болезни собака может потерять подвижность.
Резюме
С 1978 по 1989 гг. на кафедре ветеринарной хирургии Университета Людвига-Максимилиана, Мюнхен, Германия, было выполнено 132 операции остеотомии головки и шейки бедренной кости у собак и 51 – у кошек. 81 (44%) животное прошло повторный клинический осмотр и рентгенографию в среднем через 4 года после операции, при этом 17 животным также был проведен анализ движения. Функциональные результаты были оценены как хорошие в 38% случаев, удовлетворительные – в 20% и неудовлетворительные – в 42% случаев. Тем не менее 96% владельцев были удовлетворены результатами операции. Как показали кинетические и кинематические измерения, несмотря на облегчение боли после резекции головки и шейки бедренной кости, вследствие операции появились функциональные нарушения как у мелких, так и у крупных собак. Эти нарушения не были заметны при быстром аллюре.
Симптоматика патологии
Хромота у собак представляет собой изменение походки, которое сопровождается укорачиванием шага, частичным или полным исключением конечностей из процесса ходьбы, когда животное только слегка опирается на нее, или вообще поджимает при движении. Она является не самостоятельным заболеванием, а симптомом патологий, которые связаны с болью, дискомфортом или слабостью мышц в конечностях.
Расстройство может проявляться спонтанно, после длительных физических нагрузок или состояния покоя, а иногда сопровождается дополнительными симптомами – отек, атрофия мышц, общее недомогание (потеря аппетита, вялость, апатия и т.д.)
Особенности хромоты и сопутствующие проявления играют немаловажную роль при постановке диагноза, поэтому им нужно уделить особое внимание.

Хромота не является самостоятельным заболеванием, а является симптомом патологий
Взрослые собаки
У взрослых собак причины появления хромоты обычно иные, причем проявляться она может тоже в двух вариациях:
- после сна,
- постоянная.
Хромота после сна обычно заметна, когда не ходят задние лапы у собаки или питомец начинает тащить за собой, например, заднюю лапу недолгий промежуток времени. После чего походка восстанавливается. В то время как постоянное протягивание задней или поднятие передней лапы сразу бросается в глаза. Причинами как варианта хромоты после сна, так и постоянного у собак среднего и преклонного возраста становятся артроз и артрит.
Артроз
Чаще всего четвероногие друзья человека страдают от артроза. Данное заболевание связано с повреждением суставов и хрящей, которые с возрастом изнашиваются и могут даже воспаляться. Подобно людям, страдающим от такого же недуга, у собаки появляются болезненные ощущения во время движения.
Ревматоидный артрит
Ревматоидный артрит менее распространенное явление, но более опасное, так как о нем мало что известно. Его причиной могут стать внезапные инфекции, болезни пищеварения, рак. Иногда причину даже невозможно выявить.
Кажется, что собака вполне здорова, но вдруг начинает болеть артритом. Проявляется данная разновидность артрита при сильном воспалении суставов, которое может привести даже к истиранию костей. Обычно сопровождается сильными болями.
Возможные причины хромоты у собак
Провоцирующие хромоту факторы можно разделить на две группы:
- Внешние.
- Внутренние.
В первую категорию входят:
- Травмы. Причем нередко они остаются незамеченными – ушибы, вывихи, закрытые переломы, укус другого животного. Особенно заметно собака хромает после лежания или сна.
- Укус жалящего насекомого – пчелы, осы, шмеля. Также лапка собаки может стать мишенью для атаки клещей и других эктопаразитов. Реже причиной хромоты может оказаться укус змеи, в том числе не ядовитой.
- Сломан коготь. Такие повреждения характеризуются изменением походки и кровотечением.
- Заноза. Собаки обожают исследовать территорию, поэтому нередко натыкаются на опасные предметы. Особенно если речь идет о загородной местности. Обычно заноза проникает в подушечку или участок между пальцами.
- Некомфортная одежда, которая сковывает движения.
- Неудобная поза во время долгого сна – питомец может просто отлежать переднюю или заднюю лапку.
К группе причин внутреннего характера следует отнести физиологические нарушения:
- Ревматоидный артрит.
- Растяжение мышц.
- Дисплазия тазобедренного или коленного сустава. Это генетическое отклонение, вследствие которого может начаться атрофия мышц.
- Разрыв сухожилий. Чаще всего страдают мышцы-сгибатели. При отсутствии лечения развивается хроническое воспаление, образуется фиброзная ткань, соединяющая сухожилия. Появляется рубец, из-за которого сухожилия укорачиваются и движения становятся ограниченными. При таком диагнозе питомец опирается на фаланги пальцев, а не на подушечки лап.
- Артроз. Крупные собаки находятся в группе риска, так как их суставы испытывают усиленную нагрузку, особенно в щенячьем и пожилом возрасте. Кроме того, кобели страдают артритом чаще сук.
- Болезнь Пертеса. Происходит отмирание головки бедренной кости из-за нарушения ее питания.
- Неудачная инъекция может повредить седалищный нерв.
- Болезнь межпозвоночных дисков. В группе риска находятся такие собаки, как вельш-корги, бигли, таксы, бульдоги, пудели, ши-тцу, пекинесы.
- Синдром Воблера.
- Синдром клиновидных позвонков.
- Фиброзно-хрящевая эмболия.
- Спондимиелопатия.
- Патологии периферической нервной системы (например, дегенеративная миелопатия).
На заметку. При наличии неврологической дисфункции собака может трястись. Также незначительный тремор может быть ответом на боль и слабость.
Ревматоидный артрит у собаки
Вывихи суставов и растяжения мышц
Растяжение мышц может наступить при падениях и прыжках питомца. Наиболее подвержены такому недугу таксы, мопсы и другие породы с короткими лапами. Также в группе риска животные с хрупким телосложением – миниатюрные собачки (чихуахуа, шпиц, йорк, китайская хохлатая). Слишком активные животные способны пострадать в результате игр и тренировок.
Вывих может произойти как вследствие травмы, так и по причине генетических отклонений. К последним следует отнести дисплазию тазобедренного или коленного сустава. Предрасполагающими факторами развития болезни являются:
- неправильное питание;
- плохая экология;
- дисбаланс физических нагрузок (недостаток или избыток).
На заметку. Дисплазия тазобедренного сустава свойственна крупным породам, в то время как вывих коленной чашечки обычно возникает у маленьких собак.
Растяжение у собаки
Последствия укола и других манипуляций
Причины хромоты в этом случае связаны с защемлением или повреждением нерва в момент инъекции. Кроме того, если говорить об антибиотиках, то такие уколы являются очень болезненными – настолько, что могут вызвать кратковременную хромоту у питомца.
Доброкачественные и злокачественные новообразования
Доброкачественные опухоли могут быть вызваны такими причинами:
- грибковые инфекции (кожа зудит, намокает);
- аллергия;
- заболевания почек или сердца;
- запущенный дерматит;
- ожог, в том числе химический;
- врастание когтя.
Злокачественные опухоли чаще всего появляются вследствие возрастных изменений.
Ревматоидный артрит
Представляет собой воспаление внутри сустава. Может наступать на фоне возрастных изменений, а также при ослаблении иммунитета. При внимательном рассмотрении можно заметить незначительную припухлость в области сустава, однако если поражен внутренний сустав, отек рассмотреть не удастся.
Другие патологии, провоцирующие хромоту
К иным патологическим причинам, которые могут вызвать хромоту у собаки, можно отнести:
- витаминный дефицит;
- сухие подушечки;
- обморожение;
- диабет;
- дефицит витаминов может вызвать у щенков алиментарный гиперпаратиреоз.
Чтобы собака не ломала когти, их нужно регулярно подстригать
Возможные причины хромоты у собак
Причин патологического изменения походки у собак может быть много, но при отсутствии видимых повреждений определить их достаточно сложно, поэтому владельцу животного следует обратиться к ветеринару. Все причины, по которым у собаки может нарушаться походка, делятся на механические, то есть те, которые были вызваны воздействием внешних факторов, и медицинские – в их число входят нарушения работы опорно-двигательного аппарата.

Для постановки точного диагноза обратитесь к ветеринару
Механические причины
Чаще всего хромота, которая возникла под воздействием травмирующих факторов, сопровождается внешними повреждениями – ранами, отеками, ссадинами и т.д., но иногда нарушение походки выступает единственным симптомом.
- Заноза. Маленькие занозы могут быть незаметны постороннему глазу, но доставлять питомцу серьезный дискомфорт, из-за чего он начинает хромать. Опасность заключается в том, что инородное тело часто вызывает нагноения и абсцессы, которые требуют хирургического лечения.
- Укусы насекомых. Укусы пчел, ос, ядовитых пауков и других насекомых – еще одна распространенная причина хромоты у животных. Особенно опасны укусы клещей – присосавшийся паразит не только вызывает дискомфорт при ходьбе, но и может стать причиной опасных заболеваний, включая энцефалит.
- Вывихи, растяжения, переломы. Если хромоте предшествовали тяжелые физические нагрузки, падения или удары, причиной расстройства могут быть растяжения мышц, вывихи суставов или нарушения целостности костей. Чаще всего подобным повреждениям подвержены представители крупных пород с короткими лапами и небольшие особи, которые имеют тонкие, хрупкие кости.

Как вытащить занозу из лапы у собаки
Медицинские причины
Медицинские причины хромоты включают различные заболевания, которые связаны с нарушением работы опорно-двигательной системы или других органов:
- воспалительные процессы в мышечных и нервных тканях;
- заболевания ЦНС и периферической нервной системы;
- дегенеративные патологии опорно-двигательного аппарата (артрит, артроз, остеоартроз);
- тромбозы крупных сосудов;
- патологии позвоночника, сопровождающиеся компрессией нервных корешков (грыжи, протрузии);
- доброкачественные и злокачественные новообразования;
- патологии внутренних органов, которые сопровождаются болевым синдромом, иррадиирующим в конечности;
- погрешности в питании, недостаток витаминов и полезных веществ;
- избыточный вес, слишком быстрый набор массы тела у молодых особей.

Причины хромоты у собаки могут стать различные заболевания
К неочевидным, но наиболее серьезным причинам хромоты относятся генетические заболевания опорно-двигательного аппарата, которым подвержены некоторые породы собак – дисплазия тазобедренного или коленного сустава, мышечная атаксия. Это патологии, которые не поддаются лечению, и единственное, что могут сделать врачи – купировать симптомы и облегчить состояние питомца.
Породные особенности
В силу породных особенностей некоторые собаки имеют наследственную предрасположенность к тем или иным заболеваниям лап и всего опорно-двигательного аппарата.
Болезни мелких пород собак
Получившая широкое распространение в последнее время мода на миниатюрных собачек привела к появлению животных с массой тела не более одного килограмма.
- Деформация локтевых суставов. У такс, бассетов, французских бульдогов и пекинесов идет увеличенная нагрузка на передние конечности из-за неравномерного распределения мышечной массы. Это постепенно приводит к деформации костей и атрофии мышц. Клинически патология проявляется хромотой и постепенным «похудением» передних лап.
-
Остеохондроз. Дегенеративные изменения хрящей приводят к поражению суставов конечностей и позвоночного столба. Породная склонность карликовых собачек к развитию болезни обусловлена недостаточным развитием сети мелких кровеносных сосудов, обеспечивающих питание хрящевой ткани. Симптомами остеохондроза являются:
- увеличение и болезненность пораженных суставов;
- затрудненное вставание и изменение положения тела после сна или длительного нахождения в одной позе;
- заваливание набок при сидении.

Прогрессирование заболевания приводит к потере управления пораженными лапами, но при этом их чувствительность сохраняется.
Лечение проводится только ветеринарным специалистом после полного обследования с применением рентгеноскопии. В зависимости от стадии развития применяются анальгетики, нестероидные противовоспалительные препараты, витамины группы B и C, марганец, цинк, хондропротекторы. Пересматривается рацион животного, назначаются физиопроцедуры, в некоторых случаях используется гормонотерапия.
Болезнь Лагга-Кальва-Пертеса. Характеризуется появлением некротических очагов головки и шейки бедра, обусловленных недостаточным кровоснабжением. Патология начинает проявляться у молодых собачек в возрасте от 6 до 7 месяцев прихрамыванием на одну из задних конечностей, снижением подвижности тазобедренных суставов, болезненностью в месте прикосновения, атрофией мышц
Любое неосторожное движение или дополнительная физическая нагрузка могут привести к перелому кости. В зависимости от стадии развития патологии назначается консервативное лечение, позволяющее снять воспаление, устранить болевой синдром, приостановить дальнейшее разрушение костной ткани, или хирургическое иссечение пораженных тканей с их последующей заменой на искусственный аналог.
Повышенный травматизм
Миниатюрные размеры питомца приводят к тому, что случайное сдавливание, удар, прыжок с высоты, превышающей их рост, влечет за собой переломы конечностей или позвоночного столба. Ситуация усугубляется, если собака страдает ожирением, при котором лишний вес создает дополнительную нагрузку на костно-связочный аппарат.
Болезни крупных пород собак
В список наиболее распространенных болезней крупных пород собак включены артриты и дисплазии суставов, развивающиеся в результате интенсивных физических нагрузок. У немецких догов и крупных разновидностей борзых часто регистрируется локтевая гигрома.
Артрит. Заболевание суставов, носящее воспалительный характер и развивающееся на фоне ушибов или постоянных чрезмерных физических нагрузок. Симптомами болезни является болезненность, припухлость, гиперемия, хруст суставов во время движения, сгибания и разгибания конечностей. При остром воспалении наблюдается повышение не только местной, но и общей температуры тела. При отсутствии грамотного лечения в сустав может проникнуть патогенная микрофлора, грозящая развитием сепсиса.
https://youtube.com/watch?v=mGawkew1f5o
К терапевтическим мерам при неинфекционном артрите относится применение противовоспалительных и обезболивающих препаратов, хондропротекторов, изменение рациона питания, физиотерапевтические процедуры, плавание.
Дисплазия суставов. Заболевание представляет собой разрушение или перерождение тканей суставных поверхностей, спровоцированное неправильным соприкосновением головки кости и суставной выемки. Наиболее распространенной является дисплазия тазобедренных суставов, характерная для таких массивных пород, как ротвейлеры, немецкие овчарки, сенбернары и ньюфаундленды. Проявляется патология вихляющей походкой, скованностью движений, стремлению к частому отдыху, болезненностью при пальпации пораженной области.
На втором месте стоит дисплазия локтевого сустава, сопровождающаяся хромотой, трудностью при поднятии по ступенькам, болью в области передних конечностей, увеличением объема суставов.
Степени хромоты
Классифицировать хромоту у собак можно и по степени тяжести течения болезни, от того насколько болезненно проявляется хромота и какие происходят патологические процессы расстройства функции конечностей, выделяют разные степени хромоты.
Обычно выделяют три степени: слабую первую степень, среднюю вторую и сильную третью степень.
Первая степень — это слабая хромота, при которой животное может ненадолго опираться на больную лапу и переносить на неё свой вес, либо наблюдается аритмия движения больной лапы. Животное как бы бережет лапу, старается использовать ее минимальное количество времени, чтобы не травмировать дальше.
Вторая средняя степень наблюдается при частичной опоре на больную лапу или вынесении ее вперёд. Использование лапы дается животному уже с трудом, и собака старается поджимать или выносить вперед больную конечность.
Третья самая сильная степень хромоты характеризуется неиспользованием больной конечности, при ходьбе животное совсем не может опираться на больную лапу и с трудом двигает ей. Передвижение будет сильно затрудненно, и болезненные симптомы требуют немедленного оказания помощи питомцу.
Ранения
Эти причины хромоты у собаки, наравне с ушибами и растяжениями, встречаются довольно часто. Раны (чаще всего) бывают кусаными и рваными, что плохо.
Такие повреждения заживают долго, вызывают много «побочных эффектов», причем хромота – едва ли не самое безобидное. Краткая характеристика этих травм:
- Чаще встречаются на задних конечностях (именно туда псов при драках кусают сородичи).
- Раны часто сопровождаются размозжениями и разрывами тканей, включая связки.
- Помимо укусов, хромоту могут вызывать сломанные когти, укусы насекомых и стерня травы, воткнувшаяся в подушечки лап. В этих случаях животное начинает припадать на заднюю лапу, а вот передняя конечность, как правило, держится ими на весу.
Хромота у собаки- это функциональное изменение в работе опорно-двигательного аппарата. Прежде всего нарушается функция шага. Движения здорового животного независимо от его телосложения свободные и пружинящие. Оно опирается на все конечности. Нездоровое животное двигается скованно и бережется. Это значит, что в шагании не участвует какая-то конечность или даже несколько конечностей. Внимательный хозяин не может не заметить того, что у его любой собаки изменилась походка, она хромает или приволакивает лапу. Ветеринарному врачу чаще всего задается вопрос, почему хромает собака на переднюю лапу. Передняя лапа — опорная, ее быстрее всего животное травмирует при прыжке — подворачивает, вывихивает , режет о стекло, растягивает связки при приземлении на скользкую поверхность.
Вопрос, почему собака хромает на заднюю лапу, чуть менее частый. Но и задние конечности так же страдают — ущемляются, повреждаются в драках, поражаются в скакательном суставе
Для владельца важно понимать, что хромота не является заболеванием. Это симптом множества заболеваний, поэтому устраняются в соответствии с поставленным диагнозом
Действия хозяина при хромоте у собаки
Как правило, хромоту у собаки можно выявить невооруженным глазом, но в некоторых случаях она проявляется незначительно, или только в определенные периоды. Если владелец заподозрил у питомца нарушение походки, можно провести следующий тест – провести собаку по влажному песку или мокрой земле, после чего замерить расстояние между оставшимися на поверхности следами. У здоровых особей длина шага одинаковая, а если один шаг короче другого, речь может идти о проблемах с опорно-двигательным аппаратом.
Если животное начала хромать, нужно осторожно осмотреть и ощупать конечность на предмет внешних или внутренних повреждений, стараясь не причинять животному боли. Самостоятельно разгибать конечности, вправлять вывихи или проводить другие манипуляции категорически не рекомендуется – это может привести к серьезным последствиям для здоровья питомца
Использовать какие-либо медикаментозные препараты без назначения врача также не следует – единственно оправданным терапевтическим средством в этом случае является витамин В (дозу нужно подбирать в зависимости от веса животного).

Осмотрите конечность на наличие повреждений
Вне зависимости от наличия или отсутствия видимых повреждений, собаку следует доставить к ветеринару для диагностики – врач проведет внешний осмотр и функциональные тесты, а при необходимости направит животное на рентген, анализы крови, УЗИ и другие исследования.
Причины
Собака может хромать по различным причинам.
- Растяжение связок или хрящей сустава.
- Растяжка мышц.
- У питомца сорван коготь.
- Порех лапы с помощью острого предмета.
- Мизоит (воспаление мышц, признаком которого является сильная боль). Эта болезнь может проявляться через возникновение судорог, которые будут наиболее заметны во время купания).
- Разрыв передней связки коленного сустава. Такие травмы случаются в том случае, если собака поскользнулась.
- Протузия диска между позвонков шеи.
- Артрит (обусловлен дегенерацией суставов).
- Дисплозия локтевого суствава. Это заболевание является наследственным
Хромая, поражающая только задние ноги
- Дисплазия тазобедренного сустава. Это состояние, при котором тазобедренные суставы не могут развиваться нормально. Дисплазия тазобедренного сустава у собак является генетическим заболеванием, и все племенные собаки должны проходить скрининг до спаривания. При дисплазии тазобедренного сустава, из-за структурных дефектов, шар бедра не помещается должным образом в его гнездо. Пострадавшие собаки будут иметь проблемы с ходьбой и, в частности, им будет трудно вставать с лежа. Симптомы могут иметь внезапное или постепенное начало. Следите за нарушениями походки или признаками боли в бедре у вашей собаки, когда вы играете, прыгаете на диван или в машину или поднимаетесь по лестнице.
- Разорванная передняя крестообразная (или черепная) связка. Это часто наблюдается, когда собака случайно поворачивает заднюю ногу, что приводит к разрыву крестообразной связки. Это может произойти на скользких поверхностях или когда автомобиль сбит собаку. Породы, предрасположенные к этой проблеме, — ньюфаундленд, лабрадор ретривер, ротвейлер и сенбернар. Возможно, что со временем связка порвется понемногу. Пораженные собаки, как правило, выглядят хромыми, удерживая заднюю заднюю ногу от земли. Колено может опухнуть. Хирургия может потребоваться для лечения этого заболевания.
- Люксатирующая надколенник (также называемая вывихом надколенника или вывих коленной чашечки). Когда у вашей собаки появляются признаки боли в области колена или коленной чашечки (между бедренной костью или бедренной костью и двумя костями голени), у них может быть вывих надколенника, проблема, часто встречающаяся у небольших пород собак, таких как йорки, игрушечные пудели и таксы. Собака с вывихом коленной чашечки может также пропустить, когда она бежит или имеет внезапную хромоту. Смотрите ваш ветеринар для диагностики.
Какие методы лечения разрыва ПКС существуют?
Лечение данной патологии осуществляется как оперативным, так и консервативным методом. Физическую активность больным животным, подлежащих как хирургическому, так и консервативному лечению ограничивают. Длительность ограничения физической нагрузки зависит от метода лечения и динамики клинической картины. Контролируют массу тела животного с целью уменьшения нагрузки на коленный сустав. Нестероидные противовоспалительные препараты и анальгетики, столь популярные в настоящее время, не рекомендуется использовать, так как, уменьшая воспалительные явления в суставе, они никак не влияют на вторичный остеоартроз, более того, они могут усилить деструктивные процессы из-за увеличения нагрузки на нестабильный сустав. Кроме того, эти средства негативно сказываются на пищеварительной системе собак. По той же причине противопоказано использование гормональных средств из-за побочных эффектов и поражения суставных хрящей при длительном применении.
Оперативное лечение имеет приоритет при лечении данной патологии. На сегодняшний день существует более 60 методов оперативного лечения разрыва ПКС у собак. В филиалах Ветеринарного центра доктора Базылевского А.А. используются следующие методы оперативного лечения:
Периартикулярная стабилизация коленного сустава по L. Brunnberg. Техника операции сводится к ревизии коленного сустава, удалению фрагментов ПКС, ревизии менисков (в 98% случаев к парциальной менискэктомии медиального мениска) и ушиванию капсулы коленного сустава «внахлест». В течение 2-3 месяцев за счет фиброза капсулы происходит стабилизация коленного сустава.
Латеральная переартикулярная стабилизация коленного сустава. Данная техника своим вторым рождением обязана появлению современных синтетических имплантатов обладающих высокой прочностью и эластичностью. Данная операция показана собакам мелких и средних пород с разрывом передней крестовидной связки, а так же собакам крупным пород при «слабо» выраженной хромоте на тазовую конечность.
TPLO (Tibial plateau leveling osteotomy) – остеотомия, выравнивающая наклон плато большеберцовой кости.
TPLO (Tibial plateau leveling osteotomy) – выравнивающая остеотомия плато большеберцовой кости считается золотым стандартом при разрыве передней крестообразной связки в течение почти двух десятилетий. TPLO наиболее часто выполняемая ортопедическая процедура для животных в истории.
До операции
После операции
В 1978 году д-р Barclay Slocum, американский ветеринарный врач, по-новому взглянул на механику собачьего колена. Его исследования показали, что при использовании задней конечности, все силы стопы передаются через большеберцовую кость. Поскольку плато большеберцовой кости наклонная, часть этой силы будет передаваться по направлению вперед в момент переноса веса на лапу. Эту силу он назвал «Выдвижной ящик», которую нейтрализует передняя крестообразная связка. При проведенных исследованиях выяснилось, что изменение угла наклона плато при помощи остеотомии, почти перпендикулярно механической оси голени может нейтрализовать эту силу и сделать переднюю крестообразную связку ненужной.
В 1993 году д-р Barclay Slocum запатентовал TPLO в Юджин, штат Орегон для своих пациентов, в надежде на более качественные и функциональные результаты при разрыве передней крестообразной связки. Хирурги в западной части Соединенных Штатов Америки видели послеоперационные результаты и репутация росла, становясь методом выбора во всем мире.
Методика заключается в радиальной остеотомии осцилирующей пилой. После поворота фрагмента большеберцовой кости до нужного угла его фиксируют компрессионной пластиной. После того как кость зажила, пластина и винты не нужны, но они редко удаляются, если не существует связанных с ними проблем (раздражение, инфекции).
Наиболее серьезные, но неочевидные причины появления хромоты
У псов крупных пород хромота на одну из передних лап (особенно ее внезапное появление без видимых причин) – тревожный симптом. Речь может идти о связочного аппарата локтевого и плечевого суставов
. Это также может быть симптомом укорочения берцовой или лучезапястной кости
.
Хромота на любую переднюю конечность у взрослых представителей средних и крупных пород чаще всего бывает обусловлена вторичным остеоартрозом
– поражением хрящевой ткани поверхностей сустава, как следствием дисплазии.
У взрослых собак мелких пород хромота может быть признаком хондроидной метаплазии межпозвоночных дисков
. Она, в данном случае, обусловлена корешковым синдромом при грыжах позвоночника, точнее, его шейного отдела. Также причиной нередко становится сирингомиелия
– заболевание нервной системы, связанное с образованием лишних полостей прямо в спинном мозге.
Диагноз и лечение во всех вышеперечисленных случаях определяются врачом.
В независимости от причины, ответственный хозяин должен знать, что делать, если собака хромает на переднюю лапу без видимых повреждений до осмотра ветеринарного врача. Изначально нужно ограничить активность животного, чтобы не усугубить ситуацию. Давать какие-либо препараты или делать процедуры без назначения врача не стоит, так как без предварительного выявления причины любое «лечение» может только навредить.
Оправданным доврачебным вмешательством может быть профилактическая доза витамина В, который продается в ветеринарной или обычной аптеке. Фармацевт поможет подобрать дозу в зависимости от веса и возраста животного. Витамин ослабит боль и спазмы мускулатуры, остановит интоксикацию, уменьшит симптомы аллергии и поможет вашему питомцу снять нервное напряжение перед визитом ко врачу.
Все материалы раздела » «.
Первое, о чем подумают, если собака хромает на переднюю лапу – травма или заболевание суставов. Действительно, это – наиболее распространенные причины, но частичная хромота может быть симптомом и определенных заболеваний. А бывает, что поджатая передняя лапа – и вовсе не признак проблем со здоровьем
Собака таким образом может пытаться привлечь внимание и получить ласку или лакомство
Профилактика болезней лап у собак
Соблюдая несколько несложных правил профилактики болезней лап у собак, можно избежать развития большинства патологий.
При выборе щенка желательно не только изучить родословную родителей, но и увидеть их вживую, чтобы исключить наличие патологий опорно-двигательного аппарата и других аномалий развития.
С первых дней жизни обеспечивать питомцу полноценное кормление, сбалансированное по количеству питательных веществ, кальция, фосфора и других минералов и витаминов.
Не допускать развития ожирения.
Предлагать питомцу физические нагрузки соразмерные с его размером, массой тела, породными особенностями, возрастом и физиологическим состоянием.
Вовремя лечить инфекционные и инвазионные заболевания, проявления аллергии и дерматиты. Своевременно проводить обработку от накожных паразитов.
Во время прогулок избегать мест рядом со свалками, стройками, СТО и промышленными предприятиями, где собака может поранить ногу об острый предмет или получить химический ожог.
Подбирать в компанию своему питомцу «друзей» примерного одного возраста и размера. Более крупные или активные животные провоцируют чрезмерную подвижность более мелких собратьев, что приводит к растяжениям связок, вывихам и ушибам.





























